信噪比(Signal-to-Noise Ratio,簡稱 SNR)是信號傳輸和測量過程中的一個重要指標,用于衡量有用信號與背景噪聲之間的強度比值。這一概念最早起源于通信領域,用以描述信號在傳輸過程中所受噪聲干擾的程度。隨著技術發展,其應用已擴展至音頻處理、視頻處理、圖像分析、科學實驗等諸多領域,成為評價信號質量與系統性能的核心參數。

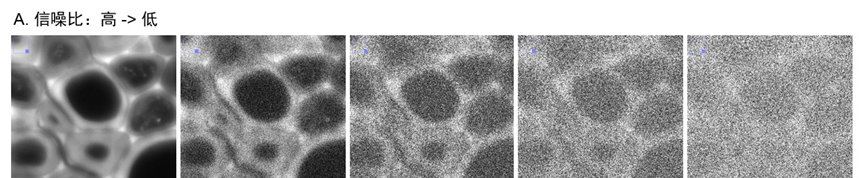
信噪比的核心在于用信號與噪聲的量化比值來評估信號在噪聲環境下的質量,通常以分貝(dB)表示;數值越高,信號相對噪聲越強,信號質量越優。我們舉一個可視化的信噪比案例,可以直觀地觀察到信噪比對信號采集的影響!

通過圖像我們可以看到,信噪比越高,觀察到的圖像會越清晰,呈現的細節就會越多,所以信噪比一般來說是越大越好。然而,任何技術參數都存在最優值,信噪比亦然,并不是越大越好。我們以光電倍增管的信噪比為例,來分析一下!

此時光電倍增管的信噪比,可以用以下的公式表示:

光電倍增管的暗電流比較低,我們可以忽略,此時信噪比可以用以下的公式表示:

光電倍增管的信號可以用下式表達:

光電倍增管的噪聲可以用下式表達:

根據以上的公式,我們可以得到光電倍增管的信噪比公式:

由上式我們可以看出,SNR和陰極電流的平方根成正比,與帶寬B的平方根成反比,其中δ是光電倍增管的二次電子發射系數,一般為6,我們帶入公式可以得到新的信噪比公式為:

在不考慮光電倍增管的噪聲和系統的噪聲下,光電倍增管的信噪比和陰極電流、帶寬有關,所以如果需要好的信噪比,我們需要提高光電倍增管的陰極電流輸出,也就是選擇高量子效率的光電倍增管,同時在滿足系統帶寬的要求下,選擇更低的帶寬。
光電倍增管的陰極電流和波長、陰極材料、光的損耗和傳輸損耗都有直接的關系,理想的情況是,根據我們測試光波長,選擇一款量子效率最好的探測器,同時將探測的光信號,能夠更多地導入探測器中,減少損失,這樣的話,輸出的陰極電流信號就會越強,這對我們的選型和光路設計都提出了高的要求。
在許多高速測量場景中,信噪比和帶寬二者不可兼得:若一味追求高信噪比,帶寬會被迫降低,從而影響高速測量;若一味擴大帶寬,信噪比又會明顯劣化。因此,信噪比這一參數并非越大越好,而應當在當前系統條件下,綜合考慮帶寬與噪聲,設計符合需求的整體指標,最終尋得一個合適的信噪比值。
鄂公網安備 42011502001385號 鄂ICP備2021012849號